FIP初回検査無料実施中!ペッツファーストだからできるFIP治療

ペッツファーストでは2019年より、FIPを発症した子猫たちの治療を行っています。

活動開始当初は、当社がブリーダー様から受け入れ、その後FIPが判明した子猫に限り治療を行っていましたが、知見が溜まった現在においては、広く一般から受け入れを行っています。

年間5,000頭近くの子猫の健康管理を行ってきたペッツファーストの獣医師だからこそできる、最適なFIP(猫伝染性腹膜炎)治療をご案内させていただきます。

目次

  1. 当院のFIP治療の4つの特徴
  2. 治療方法と使用薬剤
  3. 費用の目安
  4. 症例
  5. 飼い主さまの声
  6. Q&A

FIP治療でペッツファースト動物病院が選ばれる理由

1. 豊富な子猫の診療実績

FIPの多くは、1歳前後の幼い猫や若齢の猫に発症するケースが大半です。 数多くの子猫の症例を見極め、 ー頭ー頭に合わせた治療を行ってきたペッツファースト専属の獣医師だからこそ、最良な治療を行えます。

2. 日本獣医生命科学大学と共同研究

ペッツファーストは日本獣医生命科学大学とのFIP発病のメカニズム解明や治療方法の開発などに関する共同研究を実施しました。 徐々に成果が実を結び、腹水の減少や血液数値が正常化する猫を増やすことができ、従来救うことが難しいとされていたFIP症例猫の命を救うことができるようになりました。

3. 負担の少ない治療プランのご提案

  • ライフスタイルに合わせて選べる治療プラン
FIP治療は投薬期間が終了するまで約3ヶ月間を目安に、毎日処置を行う必要があります。 ペッツファースト動物病院では飼い主さまのご状況に合わせて、投薬終了まで入院いただき、飼い主さまに変わって毎日の注射処置・看病を実施する入院プランか、毎日自宅で経口薬を投与いただく通院プラン、そのいずれの組み合わせプランをお選びいただくことができます。

入院プランの場合は飼い主さまが毎日通院や薬を与える必要がなく、忙しい飼い主さまに負担をかけずに安心して治療を進めることが出来ます。

一方で、通院プランの場合はご自宅で毎日ネコちゃんと一緒に過ごすことができるため、環境の変化やストレスが心配な方にもおすすめです。通院プランの場合は1クール5万円からの治療開始となり、トータルでも15万円からというお支払金額となります。

  • 初期費用を抑え、すぐに治療を開始できるお支払いプラン
FIPの治療では100万円を超える高額な治療費がかかるケースも珍しくありません。ペッツファースト動物病院では約3ヶ月間の治療費用を分割してお支払いいただけるため、初期費用の負担が少なく治療を開始することができます。予定していた治療期間より早く回復できた場合、残りの治療費のお支払いは発生いたしません。

※医療ローンもご用意しております。
※治療費のお支払いの詳細は、お電話もしくはWEBにてお問合せください。

さらに少しでも費用負担を軽減できるよう、メディカルローンをはじめとした様々なお支払い方法をご用意しております。 金額は猫ちゃんの体重や症状によって変わりますので、検査後の診断時にご案内いたします。

4. 高度医療機器による精密検査の実施

ペッツファースト動物病院代官山高度医療センターでは、CTやMRIを利用した精密検査を行うことが可能です。 高度医療機器による精密検査を行うことで、触診では発見できない腹水の貯留や腫瘤に対しても治療が行えます。 またFIPではないと診断された場合にも、他の症状の原因を早期に探すことに繋がります。

当院の治療方法と使用薬剤

当院でFIP(猫伝染性腹膜炎)の猫ちゃんに「注射薬」での治療をメインで行っております。

また、12月より新たに経口投与薬における通院治療も実施しております。飼い主さまのライフスタイルと猫ちゃんの症状に合わせて最適な治療プランをご提案させていただきます。

FIP治療におかれましては、日本獣医生命科学大学との共同研究の結果を踏まえ、各症例に合わせて慎重に治療計画を立てております。飼い主様に十分な説明を行い、ご同意を得たうえで使用させていただく形になります。薬剤名についてはお問い合わせくださいませ。

治療費

当院で行っているFIP治療の費用は、進行度によっても異なりますが、入院プランの場合はおおよそ70万円から80万円ほど、通院プランの場合は15万円からとなります。

症例紹介

いぶしちゃんのケース:広尾医院

猫種 セルカークレックス
主な症状 元気食欲低下
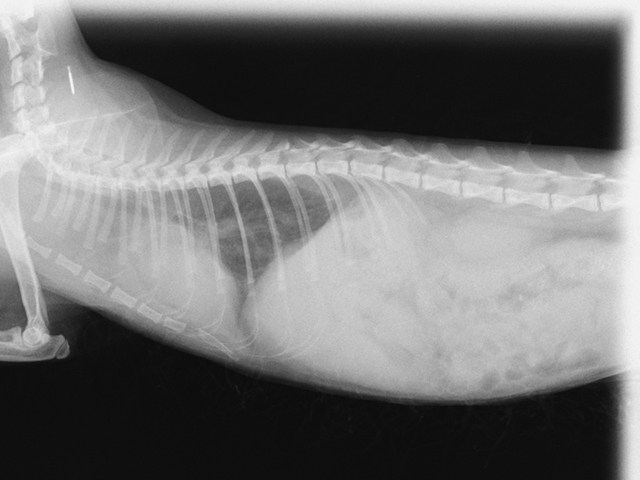
検査結果 蛋白分画、コロナウイルス抗体検査よりFIPを強く疑う。腹部及び胸部超音波検査にて腹腔内リンパ節の腫大と胸水貯留を確認。
診断 FIPウェットタイプ
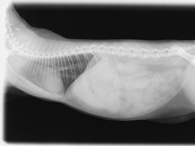
治療 治験当日より注射薬の投与を開始。その後腹腔内リンパ節の腫脹、胸水消失し、状態安定。

初回来院時(2021.12.25)

食欲不振と元気消失があり、FIPを疑った飼い主さまが来院。

投薬開始2か月後(2022.2.23)

投薬開始後数日で胸水解消、1カ月後には血液検査も正常値に。

FIP診断を受ける前日の様子(2022.12.23)

FIP治療開始1か月後の様子(2023.1.20)

いぶしちゃんの飼い主さまコメント

FIP発覚時の状況

最初におかしいなと思ったのは、急な食欲不振でした。5ヶ月の食いしん坊な子だったのですが、ある日半分くらいご飯を残し、次の日には2/3、そして全く食べなくなりました。

先住の子で異物誤飲をした時に急に食落ちしたので、もしかして?と思ったのですが、そこから普段より明らかに元気が無くなり、遊んだりもしなくなりました。毎日ベッドで、わたしのお腹の上に乗り眠っていたのにそれも出来なくなり、呼吸が苦しそうになり、熱っぽいなと思いました。

そして一番嫌な予感がしたのが、ご飯を残しているのにお腹が膨れている様に感じた時でした。それでもギリギリまでFIPとは考えないようにしていました。ご飯を残すようになって3日目にかかりつけ医で診てもらいました。

エコーや血液検査をして頂き、胸水が結構な量溜まっていますね、、これは最悪なパターンかもしれません、、と言われました。

そこからペッツファーストで働く知人に相談し、広尾医院を紹介され、翌日の午前中には広尾医院で診察して貰えることになりました。 症状からしてFIPでほぼ100%間違いないとの診断で、そこから約2ヶ月半入院治療になりました。

獣医師や看護師の対応について

本当に明日にでも死んでしまうのではないかとしばらくの間は毎日泣いて過ごしましたが、1週間後に面会に行った時には毎回ご飯を完食し、とても元気に過ごしているとの事で本当に安心しました。そこからはみるみる良くなり3/13に無事退院となりました。

広尾医院の先生はFIPにとても詳しく、かなり細かい事まで毎回丁寧にご説明して下さいました。看護師の皆様もとにかく優しく本当にうちの子をとても可愛がって下さっていたのがよく伝わりました!入院中に乳歯が抜けたのですが、大切に取っておいて下さって面会時に渡してくださいました♡

2ヶ月半離れて暮らすのは飼い主側も寂しくかなり辛かったのですが、面会に行く度にゴロゴロスリスリ甘えん坊してくるので、病院で可愛がって貰えて寂しくないだろうなと、とても安心できました。

ネコちゃんが元気になった現在のお気持ち

以前からFIP寛解の子たちの話しも聞いていたので信じてはいましたが、本当に寛解してくれて良かったと思っています。

今はとにかくやんちゃで全力で末っ子を発揮していて、可愛くて可愛くて戻って来てくれて毎日幸せです!助けて頂き本当に感謝しかありません。 ただ、まだまだ不明な事も多く、治療費も高額なので、早く誰しもが手の届く治療になる事を切に願っています。

退院直後の様子です。お気に入りの場所からひょっこり!

やんちゃな表情で遊ぶいぶしちゃん。体力もすっかり元通りに!

FAQ

FIPの治療方法って?治療期間や無料検査など、
ご予約いただく前に不安なことや疑問点を解決いたします!

検査だけ受けさせたいのですが…

もちろん検査だけの受診も可能です。初回検査について皆様無料でご利用いただけます。

初回受診時の検査費用は料金が発生することはございませんので、ご安心ください。万が一FIPが判明した場合は、早期の治療開始をお勧めしています。

治療期間はどれくらいですか??

約3カ月間を予定しております。

治療開始まもなく効果が見られることも多いのですが、3クール(約90日間)の投薬治療を実施しています。※症状や状態により期間が変動することがあります。

治療薬は何を使いますか?

「注射薬」と「経口薬」を使用しています。

詳細はお電話にてお伝えさせていただきます。お気軽にお問い合わせくださいませ。

通院治療も可能ですか?

通院治療も可能です。詳細は獣医師にご相談くださいませ。

支払方法を教えてください

現金、クレジットのほか、最長36回の分割払い(医療ローン)の利用も可能です。お気軽にご相談ください。

他院でFIPの診断を受けました。今すぐ治療を開始したいのですが

もちろん可能です。すぐにご連絡ください。

FIPの寛解には、早期の確定診断、治療開始が何より重要です。最短で来院いただけるよう予約を取らせていただきますので、お問い合わせください。

FIP受け入れ可能医院

ペッツファースト動物病院

1. 代官山高度医療センター 〒150-0034 東京都渋谷区代官山町20-20モンシェリー代官山1階 クリニックHPはこちら▶

2. 自由が丘医院 〒152-0035 東京都目黒区自由が丘2-17-12 GRANDEⅢ2・3階(受付2階)クリニックHPはこちら▶

3. 広尾医院 〒150-0012 東京都渋谷区広尾5-2-25本国ビル1階 クリニックHPはこちら▶

4.吉祥寺医院 〒180-0004 東京都武蔵野市吉祥寺本町1丁目8−14 本田ビル 4F クリニックHPはこちら▶

5. 横浜元町医院 〒231-0861 神奈川県横浜市中区元町5-203スカイビル3階 クリニックHPはこちら▶

6. 神戸三宮医院 〒650-0021 兵庫県神戸市中央区三宮町1-4-8 THE PEAK KOBE SANNOMIYA1階 クリニックHPはこちら▶

7. 大阪医院 〒530-0013 大阪府大阪市北区茶屋町8-11NU茶屋町プラス1階 クリニックHPはこちら▶

8. 福岡大野城医院  〒816-0904 福岡県大野城市大池1-7-1 クリニックHPはこちら▶

診察時間について

午前 10:00〜13:00
午後15:00〜20:00

※各医院によって異なる場合がございます。詳細は各院HPよりご確認ください。

※ご来院の1時間前までにご予約ください。

※FIPのペットオーナー様を最大限優先させていただいておりますが、医院の状況によりご希望に添えない場合もございます。

※お急ぎの場合はお電話にてお問い合わせください。